Incredible How To Get Rid Of Black Between Teeth Ideas. Dental surgery uses a local anesthetic that numbs the tooth and surrounding tissues. Remove black stain from teeth rinse with warm water, it helps to remove all the food that has stuck into the teeth. Use hydrogen peroxide as an alternative. Adding milk can reduce the staining effect of the tannins. Using baking soda toothpaste may also remove tartar — given the abrasiveness of baking soda. 4 brush with a fluoride toothpaste at least two. How can you get rid of the gaps? Over time, the gum tissue pulls away from the teeth. This is a natural occurrence. How do i get rid of the black between my teeth?

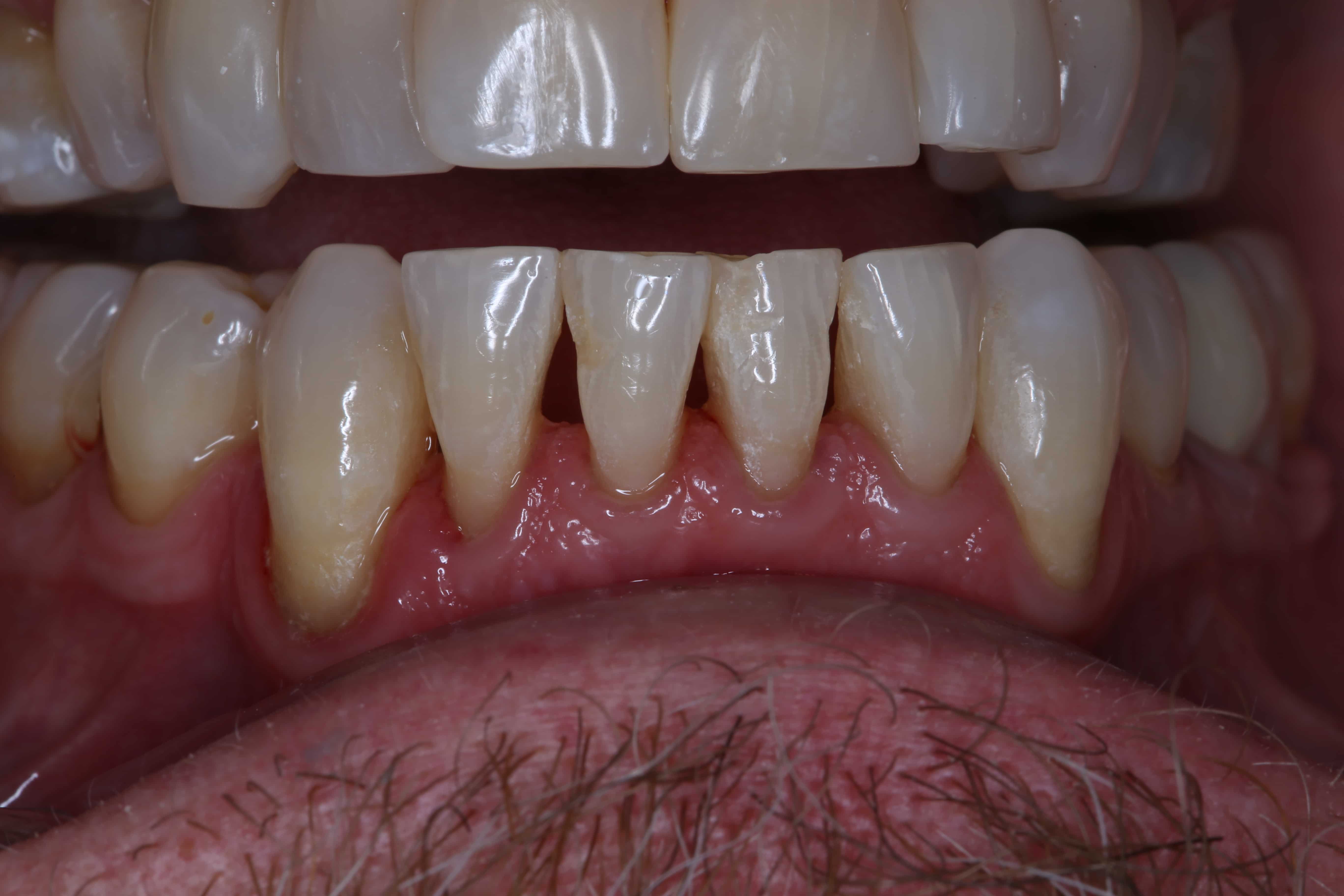
If you don’t do anything else in the morning, brush your teeth with fluoridated toothpaste for 2 minutes. Rub the teeth using this mixture. 4 brush with a fluoride toothpaste at least two. In a study published in the journal of clinical dentistry, researchers learned that. Adding milk can reduce the staining effect of the tannins. Add 1 tsp of aloe vera gel and 2 tsp vegetable glycerine in water. Soak your dentures in hydrogen peroxide for one hour, then rinse well and brush them with soap, toothpaste or dental cleaner to remove. Over time, the gum tissue pulls away from the teeth. Drink the beverage in one sitting instead of sipping it throughout the day. Then find time for an encore later in the. The black lines are stains in the groves of the teeth. Dental surgery uses a local anesthetic that numbs the tooth and surrounding tissues. Take care to brush each side and surface of your tooth enamel, as well as the spaces between each tooth, with a whitening toothpaste. Based on the cause and severity of the gap, your dentist may suggest you the best treatment option. Some of the most common treatments. Use hydrogen peroxide as an alternative. It prevents gums from receding and root damage. To reduce coffee and tea stains: How to get rid of tooth decay without a dentist tooth decay black between teeth. The oil is very strong, and cannot be used with diluting. One of the best ways to prevent black spots from forming on your teeth is to practice good oral hygiene. Use two parts of hydrogen peroxide to one part baking soda, mix it together to make a paste, apply it to your teeth and let it stand for about a minute, then rinse. Brushing your teeth twice a day with fluoridated toothpaste flossing or using an interdental brush to clean between your teeth visiting a dentist regularly to maintain good oral. If you chew or smoke tobacco, consider stopping and seeing how your teeth change. Your treatment is not yet complete, so you can continue working with him to find out what kind of results he hopes to. Brush your teeth twice per day. Brush with some salted toothpaste which can help to make strong teeth. They can also be done in a shorter. Use a water flosser or interdental brush to get between your teeth and under your gum line to remove irritants like bacteria and food debris and help reduce inflammation. This creates the look of an inverted triangle of blackness. Put 1 tbsp baking soda in it and mix properly. Brush for at least two minutes, twice a day. Using baking soda toothpaste may also remove tartar — given the abrasiveness of baking soda. If you drink coffee often, consider rinsing your mouth with water after each cup or using a straw. The american dental association (ada) recommends practicing gentle dental hygiene, which. How do i get rid of the black between my teeth? For starters, your orthodontist may have a plan to correct that gap. How can you get rid of the gaps? To fix black triangles following are the options: It might be possible to reduce the stains with cleaning and bleaching of the teeth. Eventually the part of the enamel that curves inward becomes revealed. Consuming too much tea or coffee can cause teeth staining. Remove black stain from teeth rinse with warm water, it helps to remove all the food that has stuck into the teeth. This is a natural occurrence. How do i get rid of the black between my teeth? Habitual smoking makes the surface of the teeth stained to brown or black. If black triangles between your teeth are minimal and your gums are healthy, changing your dental hygiene habits can allow your gums to return to normal.
Some Of The Most Common Treatments.
Drink the beverage in one sitting instead of sipping it throughout the day. Over time, the gum tissue pulls away from the teeth. Adding milk can reduce the staining effect of the tannins.
It Might Be Possible To Reduce The Stains With Cleaning And Bleaching Of The Teeth.
The oil is very strong, and cannot be used with diluting. One of the best ways to prevent black spots from forming on your teeth is to practice good oral hygiene. They can also be done in a shorter.
Consuming Too Much Tea Or Coffee Can Cause Teeth Staining.
How do i get rid of the black between my teeth?

0 Comments